23/10/2022
La clavícula, ese hueso alargado que se extiende desde la parte superior del esternón hasta el omóplato, juega un papel crucial en la estructura y función de nuestro hombro. No solo proporciona estabilidad y soporte, sino que también actúa como un escudo protector para importantes nervios y vasos sanguíneos que viajan desde el cuello hacia el brazo. Dada su posición relativamente expuesta, no es sorprendente que las fracturas de clavícula sean lesiones bastante comunes, especialmente en ciertos contextos.

Entender qué es la clavícula y por qué se fractura es el primer paso para abordar esta afección. Este hueso es una pieza fundamental de la compleja articulación del hombro, trabajando en conjunto con el omóplato (escápula) y la articulación acromioclavicular (AC) para permitir una amplia gama de movimientos y soportar cargas. Su integridad es vital para la movilidad y fuerza del brazo.
¿Por Qué Ocurren las Fracturas de Clavícula?
La causa más frecuente de una fractura de clavícula es un impacto directo o una fuerza significativa aplicada sobre el hueso o la parte exterior del hombro. Esto puede ocurrir de diversas maneras, siendo las caídas y los golpes directos los mecanismos principales. Los deportes de contacto o aquellos con alto riesgo de caídas son escenarios habituales donde se producen estas lesiones. Por ejemplo, actividades como el fútbol americano, la lucha libre o el hockey sobre hielo, donde los choques y las caídas sobre el hombro son comunes, a menudo resultan en fracturas de clavícula.
Una caída sobre el hombro extendido o, menos comúnmente, una caída sobre la mano extendida, puede transmitir suficiente fuerza a lo largo del brazo y el hombro para fracturar la clavícula. La energía del impacto se disipa a través del hueso, superando su resistencia y provocando la ruptura. Comprender el mecanismo de la lesión es importante tanto para el diagnóstico como para la prevención.
Identificando los Síntomas Clave
Los síntomas de una fractura de clavícula suelen ser bastante evidentes inmediatamente después de la lesión. El más prominente es un dolor intenso y repentino en la zona de la clavícula o el hombro afectado, que empeora significativamente con el movimiento.
Otro síntoma característico es la incapacidad o gran dificultad para levantar el brazo del lado afectado debido al dolor. Intentar mover el brazo puede generar una sensación desagradable o incluso audible de que algo cruje o se mueve en el sitio de la fractura (crepitación). Este crujido es a menudo el sonido o la sensación de los extremos del hueso fracturado rozándose.
Aunque el hombro afectado puede no siempre parecer visiblemente desalineado, es común observar una deformidad. Esta deformidad se presenta típicamente como una protuberancia, hinchazón o un bulto palpable a lo largo de la clavícula. En fracturas desplazadas, donde los extremos del hueso se han separado, esta protuberancia puede ser bastante notoria. Rara vez, el hueso puede perforar la piel, pero es posible que empuje la piel hacia afuera, creando lo que se describe como un efecto de "tienda de campaña".
Es importante destacar que, en la mayoría de los casos, una fractura de clavícula no se considera una lesión grave que ponga en peligro la vida. Sin embargo, en situaciones poco comunes, una fractura puede causar daño a estructuras cercanas vitales. Esto incluye la posibilidad de lesionar un pulmón, una costilla o, lo que es más preocupante, pellizcar o dañar nervios o vasos sanguíneos que pasan por debajo de la clavícula. Si experimenta síntomas como palidez, hormigueo, sensación de frío o entumecimiento en el brazo, esto podría indicar una complicación que requiere atención médica urgente.
El Proceso de Diagnóstico
El diagnóstico de una fractura de clavícula generalmente comienza con una evaluación clínica por parte de un médico. El profesional de la salud realizará una serie de preguntas sobre cómo ocurrió la lesión (el mecanismo del trauma) y los síntomas que está experimentando. Luego, procederá a examinar cuidadosamente el área afectada.
Durante el examen físico, el médico buscará signos visibles como hinchazón, hematomas o la protuberancia característica de una fractura. Palpará suavemente la clavícula para localizar el punto de máximo dolor y evaluar la presencia de crepitación o movimiento anormal. Además, el médico evaluará el estado neurovascular del brazo y la mano afectados. Esto implica revisar el flujo de sangre tomando el pulso en la muñeca, y observando el color y la temperatura de la piel para asegurarse de que la circulación no está comprometida. También se realizarán pruebas para evaluar la función nerviosa, buscando signos de entumecimiento, hormigueo o debilidad muscular, lo que podría sugerir daño nervioso.
El médico también evaluará la capacidad de movimiento del hombro y otras articulaciones cercanas, aunque este movimiento puede estar limitado por el dolor. Se puede evaluar la fuerza de los músculos del hombro, aunque a menudo esto es difícil en la fase aguda debido al dolor.
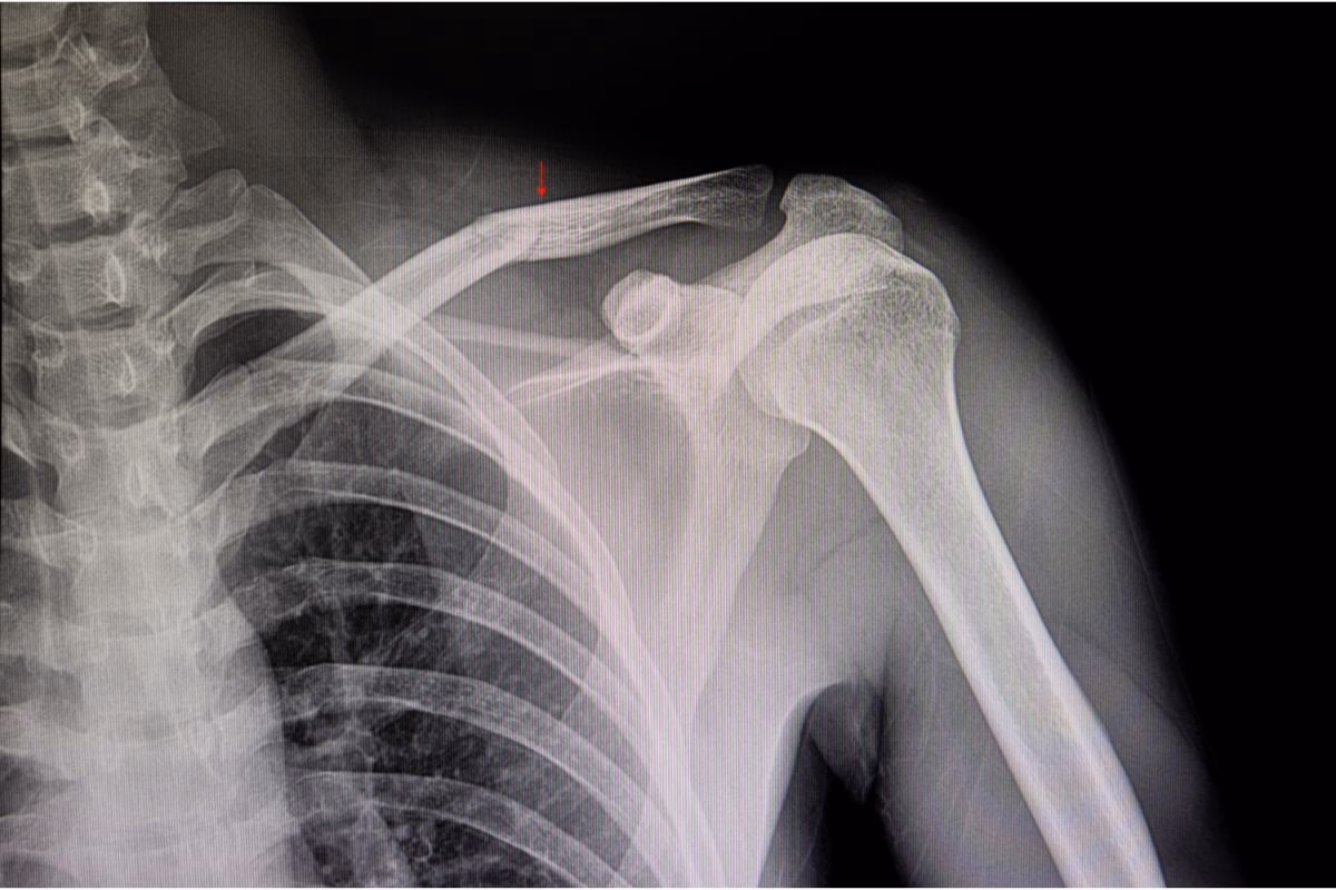
Para confirmar el diagnóstico y determinar la ubicación exacta, el tipo y la gravedad de la fractura, se solicitará una radiografía. La radiografía es la herramienta de imagen estándar para visualizar fracturas óseas y es fundamental para decidir el plan de tratamiento adecuado. En algunos casos, si hay sospecha de daño a los tejidos blandos circundantes o si la fractura es compleja, se podrían considerar otras pruebas de imagen, aunque la radiografía es típicamente suficiente.
Opciones de Tratamiento para una Fractura de Clavícula
Afortunadamente, muchas fracturas de clavícula tienen un excelente potencial de curación por sí solas sin necesidad de intervención quirúrgica. El tratamiento conservador es el enfoque más común para las fracturas que no están significativamente desplazadas o complicadas.
Tratamiento Conservador
El pilar del tratamiento conservador es la inmovilización del brazo y el hombro afectados para permitir que el hueso fracturado se cure en la posición correcta. Esto se logra generalmente mediante el uso de un cabestrillo. El cabestrillo ayuda a soportar el peso del brazo y mantiene la clavícula en una posición estable. El tiempo de uso del cabestrillo varía, pero comúnmente se requiere durante al menos 3 a 4 semanas, o incluso más, dependiendo de la gravedad de la fractura, la edad del paciente y la velocidad de curación.
En algunos casos, se puede optar por un vendaje en ocho en lugar de un cabestrillo. Este vendaje envuelve los hombros y la espalda, tirando suavemente de los hombros hacia atrás para alinear la clavícula. La elección entre cabestrillo y vendaje en ocho a menudo depende de la preferencia del médico y las características específicas de la fractura.
Durante el período de inmovilización, es fundamental evitar movimientos que pongan estrés sobre la clavícula fracturada. El dolor es una guía útil; si un movimiento causa dolor, probablemente deba evitarse.
Para controlar el dolor y la inflamación, se pueden recomendar medicamentos. El acetaminofén es una opción para el alivio del dolor. Los medicamentos antiinflamatorios no esteroideos (AINE), como el ibuprofeno o el naproxeno, pueden ayudar tanto con el dolor como con la inflamación. Es crucial seguir las indicaciones del médico y las instrucciones de la etiqueta al tomar cualquier medicamento.
Ejercicio y Rehabilitación
Aunque la inmovilización es clave, empezar ciertos ejercicios suaves tan pronto como sea seguro y tolerable es beneficioso para prevenir la rigidez del hombro y mantener la movilidad. Estos ejercicios iniciales suelen ser movimientos pendulares suaves o movilizar el codo y la muñeca mientras el hombro permanece inmovilizado. A medida que el dolor disminuye y la curación progresa, se incorporan gradualmente ejercicios de mayor rango de movimiento y, eventualmente, ejercicios de fortalecimiento.
El momento exacto para comenzar la actividad física más intensa, incluyendo el ejercicio o los deportes, debe ser determinado por el médico o fisioterapeuta. Reanudar actividades demasiado pronto, antes de que la fractura haya sanado lo suficiente, puede retrasar la curación o resultar en una mala consolidación del hueso.
Tratamiento Quirúrgico
La cirugía puede ser recomendada para ciertas fracturas de clavícula, particularmente aquellas que se consideran más graves. Las indicaciones comunes para la cirugía incluyen:
- Fracturas significativamente desplazadas, donde los extremos del hueso no están bien alineados.
- Fracturas abiertas, donde el hueso ha perforado la piel.
- Fracturas con daño a nervios o vasos sanguíneos.
- Fracturas con múltiples fragmentos (conminutas).
- En algunos casos, para atletas o personas muy activas que requieren una recuperación más rápida o una alineación ósea óptima para un rendimiento futuro.
La cirugía generalmente implica realinear los fragmentos del hueso y fijarlos en su lugar utilizando placas y tornillos o, en ocasiones, clavos intramedulares. El objetivo es restaurar la alineación anatómica de la clavícula para promover una curación adecuada.
Recuperación Post-Quirúrgica
Después de la cirugía, el paciente también necesitará un período de inmovilización con un cabestrillo, que puede durar hasta 6 semanas o más. La rehabilitación post-quirúrgica es crucial y suele ser más estructurada, a menudo bajo la supervisión de un fisioterapeuta. Inicialmente, se enseñan ejercicios suaves para mantener la movilidad del hombro sin poner estrés en la clavícula operada. A medida que la curación avanza, el programa de rehabilitación progresa para incluir ejercicios de fortalecimiento y recuperación funcional.
La línea de tiempo para la recuperación completa después de la cirugía puede variar, pero muchas personas pueden regresar a sus actividades normales, incluyendo deportes, aproximadamente 3 meses después del procedimiento, siempre y cuando la curación haya sido exitosa y la rehabilitación completa.
Preguntas Frecuentes sobre Fracturas de Clavícula
¿Qué tan peligrosa es una fractura de clavícula?
En la mayoría de los casos, una fractura de clavícula no es peligrosa y sana sin complicaciones graves. Sin embargo, existe un riesgo, aunque bajo, de complicaciones como daño a nervios, vasos sanguíneos, pulmón o costillas, lo que sí requeriría atención médica urgente. Los síntomas de alerta son palidez, hormigueo, frío o entumecimiento en el brazo.
¿Cuánto tiempo tarda en sanar una fractura de clavícula?
El tiempo de curación varía. La inmovilización inicial suele durar 3-6 semanas. La recuperación completa, incluyendo la rehabilitación y el retorno a actividades normales, puede llevar de 3 a 6 meses, dependiendo de la gravedad de la fractura, si se requirió cirugía y la respuesta individual a la curación y rehabilitación.
¿Siempre se necesita cirugía para una fractura de clavícula?
No. Muchas fracturas de clavícula, especialmente las que no están muy desplazadas, sanan bien con tratamiento conservador (inmovilización con cabestrillo). La cirugía se reserva para fracturas graves, desplazadas, abiertas o con complicaciones.
¿Puedo mover el brazo si tengo una fractura de clavícula?
Inmediatamente después de la fractura, el movimiento del brazo afectado suele ser muy doloroso y debe evitarse para no desplazar más la fractura. Durante la recuperación, bajo supervisión médica, se iniciarán ejercicios suaves para mantener la movilidad del hombro, pero el movimiento completo y la carga se restringen hasta que la fractura muestre signos de curación.
¿Qué tipo de médico trata las fracturas de clavícula?
Generalmente, un traumatólogo o cirujano ortopédico es el especialista que trata las fracturas de clavícula, aunque el diagnóstico inicial puede hacerlo un médico de atención primaria o en un servicio de urgencias.
Una fractura de clavícula, aunque dolorosa e incapacitante temporalmente, es una lesión que generalmente tiene un buen pronóstico con el tratamiento adecuado. Ya sea que se maneje de forma conservadora o quirúrgica, seguir las indicaciones médicas y completar el programa de rehabilitación son pasos esenciales para asegurar una recuperación exitosa y restaurar la función completa del hombro.
Si quieres conocer otros artículos parecidos a ¿Fractura de Clavícula? Lo Que Debes Saber puedes visitar la categoría Salud.
